- Foro
- Foros sobre Micología de fungipedia
- Microscopía
- Asmicas 2026: (4) Clavulinopsis laeticolor (Berk. & M.A. Curtis) R.H. Petersen
Asmicas 2026: (4) Clavulinopsis laeticolor (Berk. & M.A. Curtis) R.H. Petersen
- Josep Torres
-
Autor del tema
- Fuera de línea
- Moderador
-
Menos
Más
- Mensajes: 8732
- Gracias recibidas: 8378
2 meses 4 días antes - 2 meses 4 días antes #110818
por Josep Torres
Asmicas 2026: (4) Clavulinopsis laeticolor (Berk. & M.A. Curtis) R.H. Petersen Publicado por Josep Torres
Hola.
Para terminar con los hongos clavarioides de este día y en el mismo lugar que los anteriores (Desierto de las Palmas), tenemos la:
Clavulinopsis laeticolor (Berk. & M.A. Curtis) R.H. Petersen
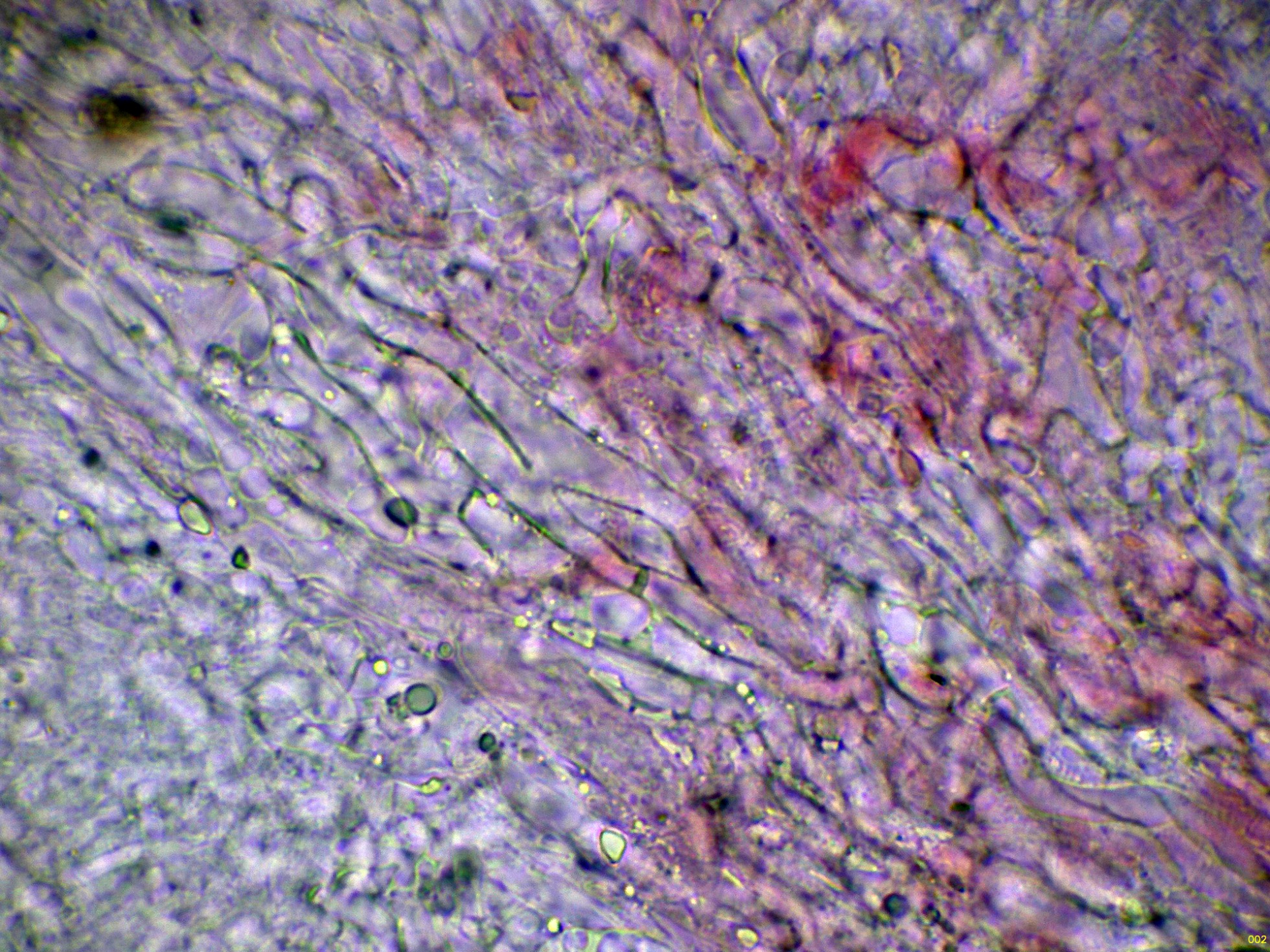
Las hifas subhimeniales en solución de Rojo Congo:
El himenio con los basidios en el mismo medio.
Esos basidios con unas medidas de (32.9) 40.7 - 52.1 (58.4) × 5 - 7.4 (8.1) µm., Me = 45.4 × 6.3 µm.
Estos basidios sin fíbulas en su base:
Una ampliación de estos basidios:
Una composición de las esporas libres en solución de Rojo Congo:
Y una composicíón de unas pocas esporas obtenidas por esporulación natural y en agua:
Estas esporas en agua con unas medidas de:
(6.8) 7.5 - 8.6 (9) × (4.1) 4.3 - 5 (5.1) µm
Q = (1.6) 1.63 - 1.9 (2) ; N = 18
Me = 8 × 4.6 µm ; Qe = 1.8
Y en Rojo Congo con unas medidas de:
(6.8) 7.4 - 8.9 (9.7) × (4.4) 4.7 - 5.6 (5.9) µm
Q = (1.3) 1.5 - 1.7 (1.9) ; N = 40
Me = 8.2 × 5.1 µm ; Qe = 1.6
Observaciones: Determinación hecha siguiendo el criterio de las Claves sobre hongos Clavarioides del documento de 2016 de la Universidad de Córdoba con el título de "New species and new records of Clavariaceae (Agaricales) from Brazil", en el que con basidiomas sin ramificar, base de los basidios sin fíbulas, sin hifas diverticuladas en el himenio, basidiosporas lisas, basidios cilíndricos y basidiosporas elipsoides conducen a la Clavulinopsis laeticolor propuesta, añado una captura de pantalla con las Claves:
En el mismo documento atribuyen a la Clavulinopsis laeticolor unas medidas para los basidios de 32−58 × 4−10 μm, muy acordes con las medidas del presente estudio de (32.9) 40.7 - 52.1 (58.4) × 5 - 7.4 (8.1) µm., no obstante se atribuye unas medidas para las esporas de la Clavulinopsis laeticolor de 5.5−8.0 × 3.5−6.0 μm (Q=1.56), un poco por debajo de las de mi estudio con unas medidas de las esporas de (6.8) 7.4 - 8.9 (9.7) × (4.4) 4.7 - 5.6 (5.9) µm., Qe = 1.6, debido quizás a la presencia de basidios monospóricos y bispóricos, bastante comunes en mi estudio, que darían lugar a esporas de mayor tamaño.
Especie muy parecida en el aspecto macroscópico a la Clavulinopsis helvola, esta última con esporas nodulosas.
Saludos.
Para terminar con los hongos clavarioides de este día y en el mismo lugar que los anteriores (Desierto de las Palmas), tenemos la:
Clavulinopsis laeticolor (Berk. & M.A. Curtis) R.H. Petersen
Las hifas subhimeniales en solución de Rojo Congo:
El himenio con los basidios en el mismo medio.
Esos basidios con unas medidas de (32.9) 40.7 - 52.1 (58.4) × 5 - 7.4 (8.1) µm., Me = 45.4 × 6.3 µm.
Estos basidios sin fíbulas en su base:
Una ampliación de estos basidios:
Una composición de las esporas libres en solución de Rojo Congo:
Y una composicíón de unas pocas esporas obtenidas por esporulación natural y en agua:
Estas esporas en agua con unas medidas de:
(6.8) 7.5 - 8.6 (9) × (4.1) 4.3 - 5 (5.1) µm
Q = (1.6) 1.63 - 1.9 (2) ; N = 18
Me = 8 × 4.6 µm ; Qe = 1.8
Y en Rojo Congo con unas medidas de:
(6.8) 7.4 - 8.9 (9.7) × (4.4) 4.7 - 5.6 (5.9) µm
Q = (1.3) 1.5 - 1.7 (1.9) ; N = 40
Me = 8.2 × 5.1 µm ; Qe = 1.6
Observaciones: Determinación hecha siguiendo el criterio de las Claves sobre hongos Clavarioides del documento de 2016 de la Universidad de Córdoba con el título de "New species and new records of Clavariaceae (Agaricales) from Brazil", en el que con basidiomas sin ramificar, base de los basidios sin fíbulas, sin hifas diverticuladas en el himenio, basidiosporas lisas, basidios cilíndricos y basidiosporas elipsoides conducen a la Clavulinopsis laeticolor propuesta, añado una captura de pantalla con las Claves:
En el mismo documento atribuyen a la Clavulinopsis laeticolor unas medidas para los basidios de 32−58 × 4−10 μm, muy acordes con las medidas del presente estudio de (32.9) 40.7 - 52.1 (58.4) × 5 - 7.4 (8.1) µm., no obstante se atribuye unas medidas para las esporas de la Clavulinopsis laeticolor de 5.5−8.0 × 3.5−6.0 μm (Q=1.56), un poco por debajo de las de mi estudio con unas medidas de las esporas de (6.8) 7.4 - 8.9 (9.7) × (4.4) 4.7 - 5.6 (5.9) µm., Qe = 1.6, debido quizás a la presencia de basidios monospóricos y bispóricos, bastante comunes en mi estudio, que darían lugar a esporas de mayor tamaño.
Especie muy parecida en el aspecto macroscópico a la Clavulinopsis helvola, esta última con esporas nodulosas.
Saludos.
Adjuntos:
Última Edición: 2 meses 4 días antes por Josep Torres. Razón: Añadir información
Por favor, Identificarse para unirse a la conversación.
- Foro
- Foros sobre Micología de fungipedia
- Microscopía
- Asmicas 2026: (4) Clavulinopsis laeticolor (Berk. & M.A. Curtis) R.H. Petersen
Tiempo de carga de la página: 0.133 segundos



Foro de micología