Hyaloscypha intacta Svrček . Microscopía.
5 meses 2 semanas antes #110659
por JOSEP
Hyaloscypha intacta Svrček . Microscopía. Publicado por JOSEP
Hola.
Unos muy diminutos apotecios, brotando de manera dispersa, localizados sobre la superficie de un tronco semisumergido en agua limpia de Fraxinus sp.
Agradecer a Hans-Otto Baral su ayuda, ya que si bien tenía claro el género, no conseguía dar con la especie.
Hyaloscypha intacta Svrček
En la imágen la zona donde aparecían los apotecios:
Apotecios con un diámetro de tan solo entre 0,07 a 0,11 mm., de color blanquecino y su borde externo ligeramente piloso.
Los apotecios a 20 aumentos.
Una imágen con la escala:
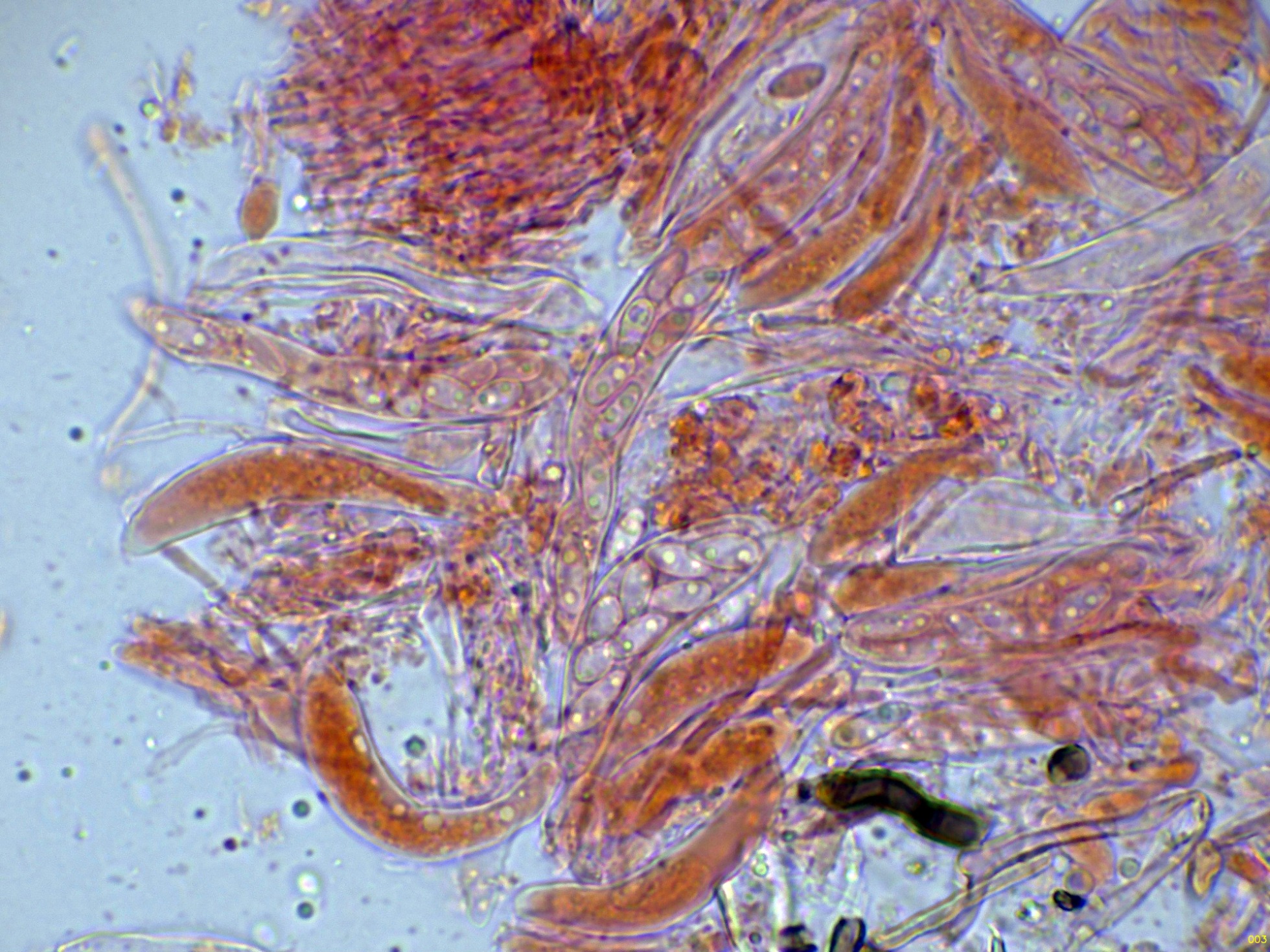
Pelos marginales con terminaciones moderadamente apuntadas y con una superficie ligeramente rugosa.
Hifas del excípulo medular intricadas y por debajo de estas unas hifas ya con tendencia a globoso angularis.
Ascos octospóricos, aparentemente sin uncínulos en su base, mayoritariamente biseriados, y con unas medidas de (35.7) 40.9 - 52 (52.4) × (7) 7.7 - 9.1 (9.6) µm.
Detalle de la base de un asco, sin uncínulos:
No puedo aportar datos sobre el comportamiento de los ascos al Melzer ya que solo conseguí preparar una sola muestra con un solo apotecio, al día siguiente los demás apotecios al deshidratarse literalmente habían desaparecido.
Paráfisis filiformes, poco o nada ensanchadas en el ápice, que no sobresalen por encima del nivel de los ascos, con uno o dos septos y una anchura de 2 a 2,55 micras.
Ascosporas elipsoidales con 2 grandes gotas lípidas en los polos y con unas medidas de las ascosporas maduras dentro del asco de:
(5.9) 6.6 - 8.9 (9.3) × (2.9) 3.2 - 4.3 (4.7) µm
Q = (1.5) 1.8 - 2.4 (2.8) ; N = 30
Me = 7.6 × 3.6 µm ; Qe = 2.1
No pude observar ascosporas libres en las muestras.
Estas medidas se encuentran un poco por debajo de las que se corresponderían a la especie, añado unos enlaces de estudios realizados a la Hyaloscypha intacta:
ascofrance.com/forum/16979/hyaloscypha-hyalina#
www.researchgate.net/figure/Hyaloscypha-...pores_fig2_275907308
www.centrodeestudiosmicologicosasturianos.org/?p=24733
www.pilzforum.eu/board/thread/28565-hyaloscypha-intacta/
Dado su muy diminuto tamaño, había pensado que quizás se podía tratar de la Hyaloscypha microscopica Velen. 1934, aunque no pude encontrar ninguna información acerca de la especie, añado el comentario de Baral sobre la Hyaloscypha microsopica:
"Hyaloscypha microscopica nunca fue redescrita. SVrcek (1985) solo la combinó en Discocistella y Huhtinen (1990) no estudió el material escaso de que se disponía."
Normal que no encontrara ninguna descripción de la especie.
Saludos.
Unos muy diminutos apotecios, brotando de manera dispersa, localizados sobre la superficie de un tronco semisumergido en agua limpia de Fraxinus sp.
Agradecer a Hans-Otto Baral su ayuda, ya que si bien tenía claro el género, no conseguía dar con la especie.
Hyaloscypha intacta Svrček
En la imágen la zona donde aparecían los apotecios:
Apotecios con un diámetro de tan solo entre 0,07 a 0,11 mm., de color blanquecino y su borde externo ligeramente piloso.
Los apotecios a 20 aumentos.
Una imágen con la escala:
Pelos marginales con terminaciones moderadamente apuntadas y con una superficie ligeramente rugosa.
Hifas del excípulo medular intricadas y por debajo de estas unas hifas ya con tendencia a globoso angularis.
Ascos octospóricos, aparentemente sin uncínulos en su base, mayoritariamente biseriados, y con unas medidas de (35.7) 40.9 - 52 (52.4) × (7) 7.7 - 9.1 (9.6) µm.
Detalle de la base de un asco, sin uncínulos:
No puedo aportar datos sobre el comportamiento de los ascos al Melzer ya que solo conseguí preparar una sola muestra con un solo apotecio, al día siguiente los demás apotecios al deshidratarse literalmente habían desaparecido.
Paráfisis filiformes, poco o nada ensanchadas en el ápice, que no sobresalen por encima del nivel de los ascos, con uno o dos septos y una anchura de 2 a 2,55 micras.
Ascosporas elipsoidales con 2 grandes gotas lípidas en los polos y con unas medidas de las ascosporas maduras dentro del asco de:
(5.9) 6.6 - 8.9 (9.3) × (2.9) 3.2 - 4.3 (4.7) µm
Q = (1.5) 1.8 - 2.4 (2.8) ; N = 30
Me = 7.6 × 3.6 µm ; Qe = 2.1
No pude observar ascosporas libres en las muestras.
Estas medidas se encuentran un poco por debajo de las que se corresponderían a la especie, añado unos enlaces de estudios realizados a la Hyaloscypha intacta:
ascofrance.com/forum/16979/hyaloscypha-hyalina#
www.researchgate.net/figure/Hyaloscypha-...pores_fig2_275907308
www.centrodeestudiosmicologicosasturianos.org/?p=24733
www.pilzforum.eu/board/thread/28565-hyaloscypha-intacta/
Dado su muy diminuto tamaño, había pensado que quizás se podía tratar de la Hyaloscypha microscopica Velen. 1934, aunque no pude encontrar ninguna información acerca de la especie, añado el comentario de Baral sobre la Hyaloscypha microsopica:
"Hyaloscypha microscopica nunca fue redescrita. SVrcek (1985) solo la combinó en Discocistella y Huhtinen (1990) no estudió el material escaso de que se disponía."
Normal que no encontrara ninguna descripción de la especie.
Saludos.
Adjuntos:
Por favor, Identificarse o Crear cuenta para unirse a la conversación.
Tiempo de carga de la página: 0.165 segundos



Foro de micología