Candanchú 2025: El resto, segunda parte.
5 meses 2 semanas antes #110653
por JOSEP
Candanchú 2025: El resto, segunda parte. Publicado por JOSEP
Hola.
Unas cuantas especies más de la salida por Candanchú.
Un Henningsomyces de muy pequeño tamaño, parecido al Henningsomyces candidus, pero con su superficie lisa, el Henningsomyces puber.
Los basidiomas a 20 aumentos:
Los basidiomas a 40 aumentos:
Las hifas subiculares en solución de Rojo Congo:
Las hifas subiculares en agua:
Los basidios y la trama en agua:
Los basidios en solución de Rojo Congo:
Y por último los basidios y unas pocas esporas en agua:
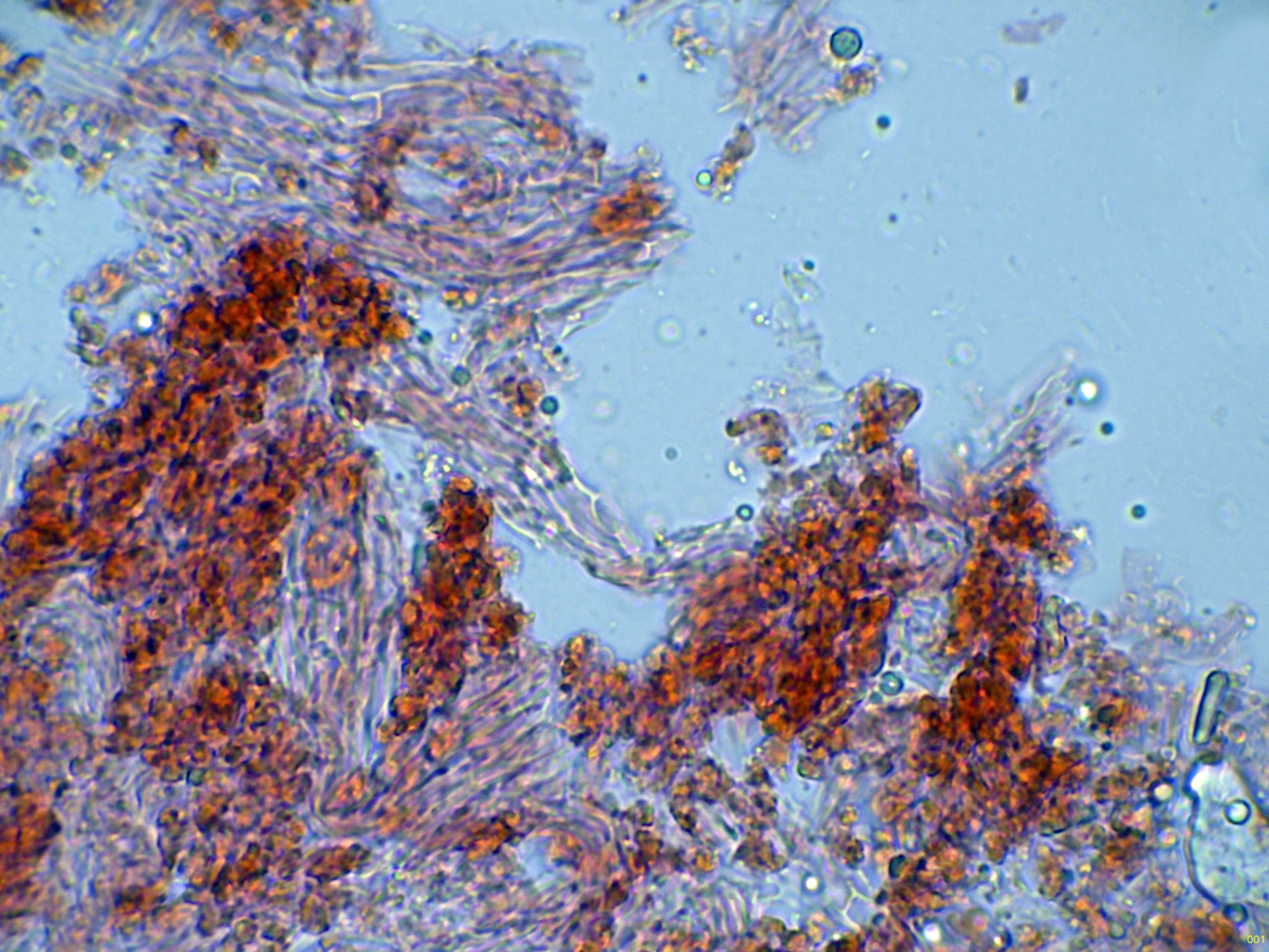
Un Hypoxylon, a pie de campo pensamos en Hypoxylon subticinense, pero aunque los ejemplares estaban inmaduros y no pudimos observar ascos , ni tampoco conidios, a tenor de la anchura de las hifas que producirían clamidosporas y las medidas de estas clamidosporas, todo parece apuntar al Hypoxylon ticinense:
Borde de crecimiento a 20 aumentos:
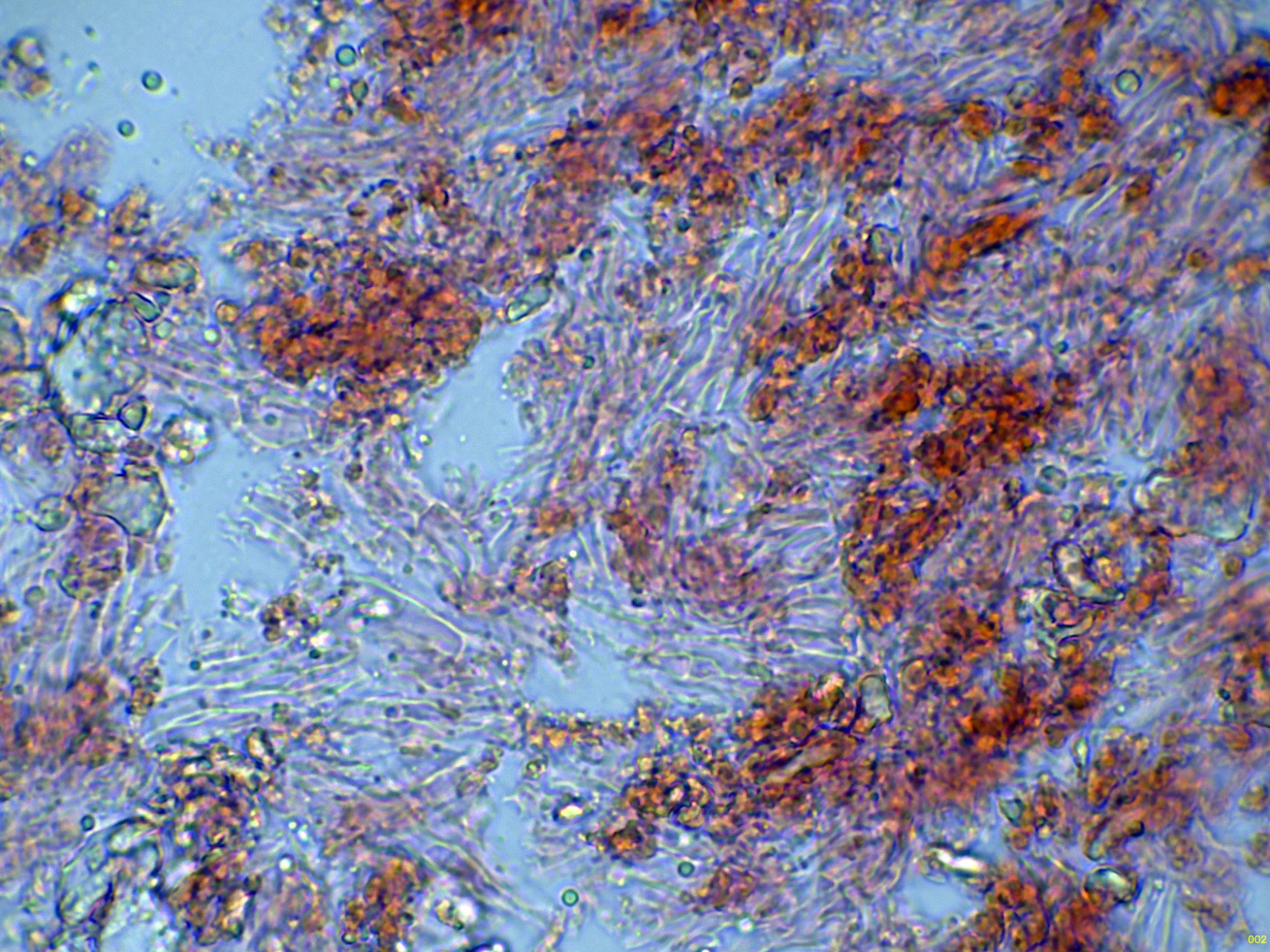
Hifas que producirían las clamidosporas:
Una imágen con las medidas en anchura de estas hifas:
Las clamidosporas:
Estas clamidosporas con unas medidas de:
(4.2) 4.6 - 5.8 (5.9) × (4.2) 4.4 - 5.4 (5.7) µm
Q = 1 - 1.1 (1.2) ; N = 20
Me = 5.2 × 4.9 µm ; Qe = 1.1
Seguimos...................................................
Unas cuantas especies más de la salida por Candanchú.
Un Henningsomyces de muy pequeño tamaño, parecido al Henningsomyces candidus, pero con su superficie lisa, el Henningsomyces puber.
Los basidiomas a 20 aumentos:
Los basidiomas a 40 aumentos:
Las hifas subiculares en solución de Rojo Congo:
Las hifas subiculares en agua:
Los basidios y la trama en agua:
Los basidios en solución de Rojo Congo:
Y por último los basidios y unas pocas esporas en agua:
Un Hypoxylon, a pie de campo pensamos en Hypoxylon subticinense, pero aunque los ejemplares estaban inmaduros y no pudimos observar ascos , ni tampoco conidios, a tenor de la anchura de las hifas que producirían clamidosporas y las medidas de estas clamidosporas, todo parece apuntar al Hypoxylon ticinense:
Borde de crecimiento a 20 aumentos:
Hifas que producirían las clamidosporas:
Una imágen con las medidas en anchura de estas hifas:
Las clamidosporas:
Estas clamidosporas con unas medidas de:
(4.2) 4.6 - 5.8 (5.9) × (4.2) 4.4 - 5.4 (5.7) µm
Q = 1 - 1.1 (1.2) ; N = 20
Me = 5.2 × 4.9 µm ; Qe = 1.1
Seguimos...................................................
Adjuntos:
Por favor, Identificarse o Crear cuenta para unirse a la conversación.
5 meses 2 semanas antes #110654
por JOSEP
Respuesta de JOSEP sobre el tema Candanchú 2025: El resto, segunda parte.
Buscando la Marcelleina rickii, el 15 de agosto en Sansanet, nos encontramos con un Pezizal bastante parecido, la Peziza gerardii, actualmente Ionopezia gerardii, segundo estudio que realizo a la especie, la Marcelleina se me sigue resistiendo
:
Ascoma a 20 aumentos:
Los ascos en agua a 400 aumentos:
Ascos en agua a 1000 aumentos:
Y las esporas obtenidas por esporulación natural y en agua:
Estas esporas con unas medidas de:
(25.6) 26.9 - 32.1 (32.3) × (9.9) 10.1 - 11.2 (12) µm
Q = (2.5) 2.52 - 3 (3.2) ; N = 30
Me = 29.5 × 10.7 µm ; Qe = 2.7
Para terminar con esta entrega, un Lactarius con un picante que no se olvida, en mi opinión el más picante de los que he probado, este es del 16 de agosto bajo avellanos, en La Forêt d'Issaux, su nombre ya lo dice todo, el Lactarius pyrogalus (pyrus = fuego):
Los cistidios en solución de Rojo Congo:
En la base de estos cistidios podemos observar los basidios:
Y por último las esporas en Reactivo de Melzer:
Estas esporas con unas medidas de:
(6.1) 6.4 - 7.9 (8.3) × (5.3) 5.7 - 6.5 (7.2) µm
Q = (1) 1.1 - 1.2 (1.3) ; N = 30
Me = 6.9 × 6.1 µm ; Qe = 1.1
Saludos.
Ascoma a 20 aumentos:
Los ascos en agua a 400 aumentos:
Ascos en agua a 1000 aumentos:
Y las esporas obtenidas por esporulación natural y en agua:
Estas esporas con unas medidas de:
(25.6) 26.9 - 32.1 (32.3) × (9.9) 10.1 - 11.2 (12) µm
Q = (2.5) 2.52 - 3 (3.2) ; N = 30
Me = 29.5 × 10.7 µm ; Qe = 2.7
Para terminar con esta entrega, un Lactarius con un picante que no se olvida, en mi opinión el más picante de los que he probado, este es del 16 de agosto bajo avellanos, en La Forêt d'Issaux, su nombre ya lo dice todo, el Lactarius pyrogalus (pyrus = fuego):
Los cistidios en solución de Rojo Congo:
En la base de estos cistidios podemos observar los basidios:
Y por último las esporas en Reactivo de Melzer:
Estas esporas con unas medidas de:
(6.1) 6.4 - 7.9 (8.3) × (5.3) 5.7 - 6.5 (7.2) µm
Q = (1) 1.1 - 1.2 (1.3) ; N = 30
Me = 6.9 × 6.1 µm ; Qe = 1.1
Saludos.
Adjuntos:
Por favor, Identificarse o Crear cuenta para unirse a la conversación.
Tiempo de carga de la página: 0.315 segundos



Foro de micología